Почему потеря одного зуба запускает цепочку проблем
Многие пациенты живут без одного зуба годами, думая, что «ничего страшного». Но на самом деле именно один дефект приводит к самым заметным перегрузкам:
Этот процесс уже через несколько месяцев делает имплантацию сложнее и дороже.
- нагрузка перераспределяется на соседние зубы,
- прикус меняется,
- жевательная эффективность падает,
- кость в зоне отсутствующего зуба начинает быстро убывать — атрофироваться.
Этот процесс уже через несколько месяцев делает имплантацию сложнее и дороже.
Что происходит с костью после удаления зуба
Костная ткань живёт только там, где получает нагрузку от зуба. Если зуба нет:
При выраженной атрофии уже невозможно поставить имплант без костной пластики — это дополнительная операция, время и деньги.
- кость уменьшается в высоту,
- стенки лунки становятся тоньше,
- объём убывает уже в первый год.
При выраженной атрофии уже невозможно поставить имплант без костной пластики — это дополнительная операция, время и деньги.
Феномен Попова–Годона: почему зуб сверху или снизу «выезжает»
Когда отсутствует один зуб, его антагонист (зуб с противоположной челюсти) лишается жевательной нагрузки. В норме два зуба контактируют и держат друг друга в позиции. Если контакт исчезает — антагонист начинает:
Это и есть феномен Попова–Годона — распространённая ситуация, когда один отсутствующий зуб запускает проблемы на всю челюстную систему.
- «выдвигаться» вниз или вверх,
- удлиняться,
- терять стабильность,
- травмировать десну,
- нарушать прикус.
Это и есть феномен Попова–Годона — распространённая ситуация, когда один отсутствующий зуб запускает проблемы на всю челюстную систему.
Соседние зубы начинают смещаться — и место под имплантат «закрывается»
Другие зубы постепенно наклоняются в сторону пустого пространства. Через год-два:
То, что раньше решалось за 1–2 визита, превращается в длительное комплексное лечение.
- промежуток уже не такой ровный,
- ось зубов нарушена,
- ставить имплант становится технически сложно,
- может потребоваться ортодонтия перед имплантацией.
То, что раньше решалось за 1–2 визита, превращается в длительное комплексное лечение.
Когда пора идти к стоматологу
Не откладывайте консультацию стоит, если:
Даже если симптомы пока слабые — они будут нарастать.
- зуб удалён более 3–4 месяцев назад;
- вы замечаете изменение прикуса;
- появилась чувствительность или боли при жевании;
- визуально «опустился» зуб-антагонист;
- на снимке видно уменьшение кости.
Даже если симптомы пока слабые — они будут нарастать.
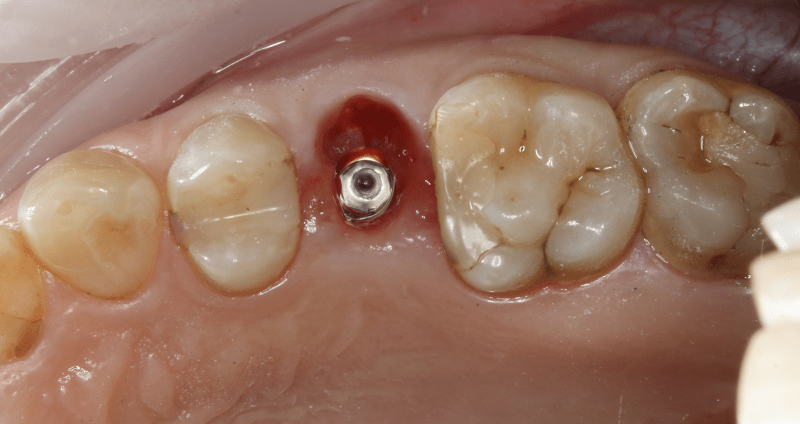
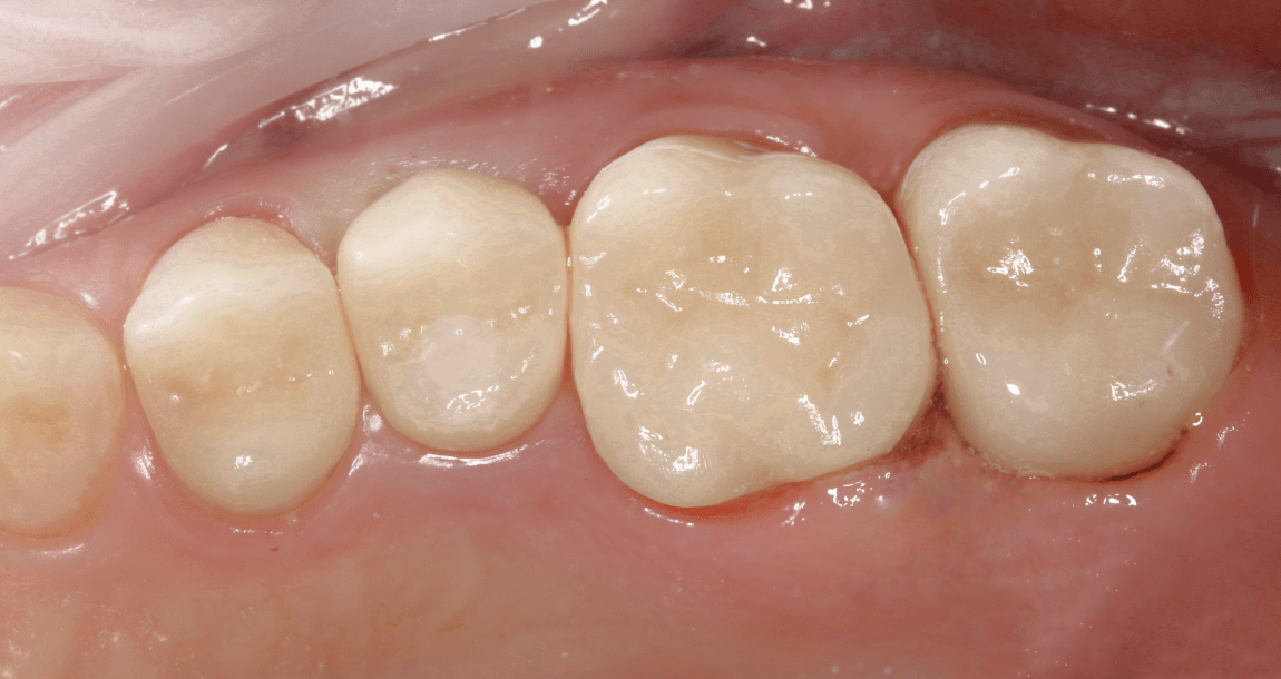
Имплантация — не «чрезмерная мера», а стандарт восстановления
Современные импланты восстанавливают:
Это такой же нормальный метод лечения, как коронка или пломба — просто для более сложных случаев.
- эстетику,
- функцию,
- нагрузку на кость,
- симметрию прикуса.
Это такой же нормальный метод лечения, как коронка или пломба — просто для более сложных случаев.
Один отсутствующий зуб — сигнал, который нельзя игнорировать
Даже небольшая «дырка» запускает изменения, которые потом в разы сложнее исправлять: атрофию кости, смещения, проблему антагониста и перегрузку здоровых зубов. Чем раньше воссоздать зуб — тем проще и дешевле лечение.
Если вы потеряли зуб недавно или давно и хотите понять, можно ли поставить имплант сейчас — приходите в клинику «Пробел». Наши специалисты:
Подробнее о нашем подходе смотрите на страницах Имплантация, Протезирование и Пластика десны.
А чтобы получить персональный план лечения — запишитесь на консультацию, и мы подскажем, как восстановить зуб в вашей ситуации.
Если вы потеряли зуб недавно или давно и хотите понять, можно ли поставить имплант сейчас — приходите в клинику «Пробел». Наши специалисты:
- проведут КТ и оценят состояние кости,
- проверят положение соседних и антагонистических зубов,
- скажут, нужна ли костная пластика,
- предложат оптимальный вариант восстановления.
Подробнее о нашем подходе смотрите на страницах Имплантация, Протезирование и Пластика десны.
А чтобы получить персональный план лечения — запишитесь на консультацию, и мы подскажем, как восстановить зуб в вашей ситуации.
Мы отвечаем быстро и с заботой.
Адрес: Москва, Ленинградский проспект, 29к1
проложить маршрут
Телефон: +7 499 130 88 77
Сайт: probelclinic.ru
Мессенджеры — пишите, как вам удобнее:
WhatsApp +7 903 130 88 77
Telegram: probel_clinic
Мы будем рады видеть вас в нашей клинике и подарить ту самую улыбку, о которой вы давно мечтаете.
Адрес: Москва, Ленинградский проспект, 29к1
проложить маршрут
Телефон: +7 499 130 88 77
Сайт: probelclinic.ru
Мессенджеры — пишите, как вам удобнее:
WhatsApp +7 903 130 88 77
Telegram: probel_clinic
Мы будем рады видеть вас в нашей клинике и подарить ту самую улыбку, о которой вы давно мечтаете.