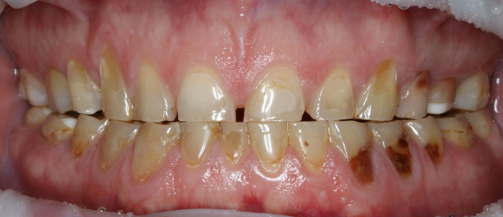
Почему зубы темнеют, даже если вы их чистите?
На это влияет несколько факторов:
- Пигменты из еды и напитков. Кофе, чай, вино, соусы, ягоды, специи — всё это оставляет след на эмали. Со временем образуется внешний налёт, который невозможно убрать только щёткой.
- Минерализация налёта. Если налёт не удалять регулярно, он превращается в зубной камень — плотный слой, который окрашивается ещё быстрее.
- Возрастные изменения. С возрастом эмаль становится тоньше, а дентин (внутренний слой зуба, более жёлтый) начинает просвечивать. Отсюда — ощущение «раньше зубы были белее».
- Индивидуальная структура эмали. У кого-то эмаль от природы более прозрачная или с пористой структурой — и пигменты впитываются активнее.
- Курение и лекарства. Никотин, препараты железа, тетрациклин — всё это влияет на цвет зубов.
Даже самая хорошая паста и щётка не справятся с этими причинами, потому что они не про поверхностную гигиену, а про глубину и микроструктуру эмали.
Когда поможет профессиональная чистка?
Если причина — в налёте и пищевых пигментах, поможет профессиональная чистка AIR FLOW. Это метод, при котором зубы обрабатывают струёй воды, воздуха и мягкого порошка. Он удаляет налёт даже из труднодоступных мест и возвращает зубам их природный цвет.
Часто после такой чистки пациенты говорят: «Я даже не думал, что у меня свои зубы такие светлые!»
Часто после такой чистки пациенты говорят: «Я даже не думал, что у меня свои зубы такие светлые!»
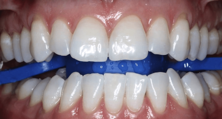
Когда нужно именно отбеливание?
Если эмаль чистая, но цвет всё равно тусклый или сероватый — стоит рассмотреть отбеливание зубов. В клинике «Пробел» мы используем системы ZOOM 4, Amazing White или другие:
Для особо тёмных участков или «внутренней серости» может понадобиться внутриканальное отбеливание — особенно после лечения каналов.
- работают за одно посещение;
- не повреждают эмаль;
- результат — сразу на 2–3 тона светлее.
Для особо тёмных участков или «внутренней серости» может понадобиться внутриканальное отбеливание — особенно после лечения каналов.
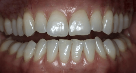
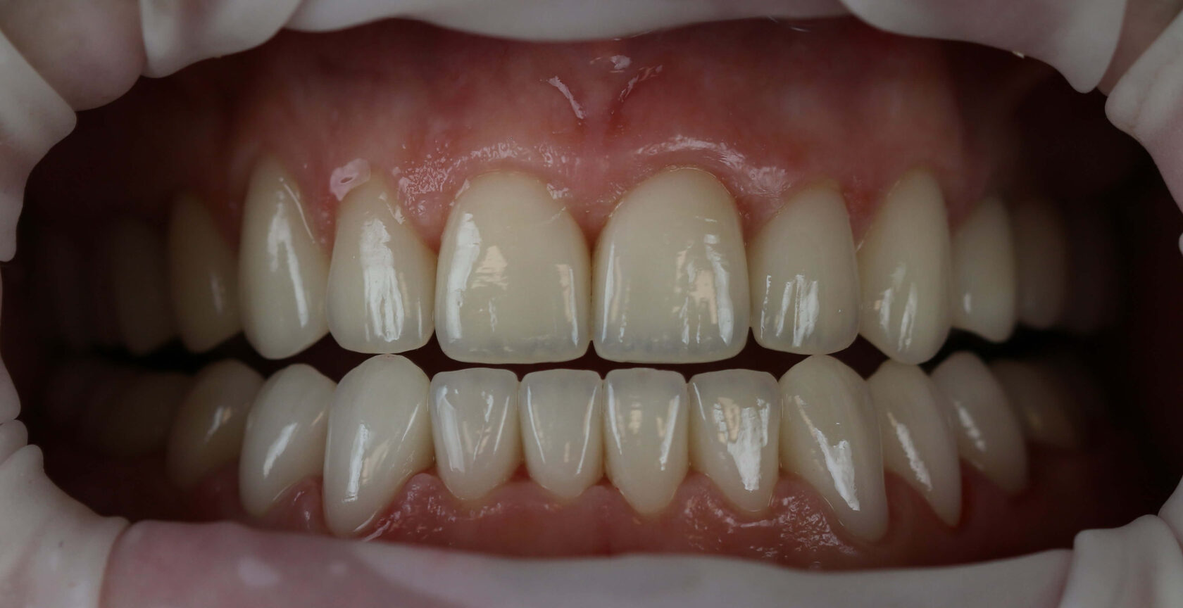
А когда помогут только виниры?
Иногда эмаль настолько истончена, разрушена или пигментирована, что ни чистка, ни отбеливание уже не дадут видимого эффекта.
В таких случаях подходят керамические виниры — тонкие накладки на переднюю поверхность зубов.
Они:
Мы изготавливаем виниры в собственной цифровой лаборатории или в команде с лучшими лабораториями, учитывая пожелания пациента и индивидуальные особенности пациента.
В таких случаях подходят керамические виниры — тонкие накладки на переднюю поверхность зубов.
Они:
- полностью меняют цвет и форму зуба;
- служат 10+ лет;
- сохраняют природную эстетику (не «белоснежная пластмасса»).
Мы изготавливаем виниры в собственной цифровой лаборатории или в команде с лучшими лабораториями, учитывая пожелания пациента и индивидуальные особенности пациента.
Что делать, если вы не уверены?
Просто приходите на консультацию. Врач оценит:
Иногда достаточно одной процедуры AIR FLOW, иногда — этапа из чистки, фторирования и отбеливания. А иногда нужен более сложный подход — но всё это обсуждается заранее, с пониманием ваших ожиданий.
- состояние эмали;
- глубину налёта;
- внутренние и внешние факторы изменения цвета.
Иногда достаточно одной процедуры AIR FLOW, иногда — этапа из чистки, фторирования и отбеливания. А иногда нужен более сложный подход — но всё это обсуждается заранее, с пониманием ваших ожиданий.
Подробнее о методах и ценах читайте на странице «Отбеливание зубов»
Или оставьте заявку на приём: мы перезвоним и подберём удобное время.
Начнём с диагностики — и вы точно узнаете, почему ваши зубы темнеют, и как вернуть им светлый, живой цвет.
Или оставьте заявку на приём: мы перезвоним и подберём удобное время.
Начнём с диагностики — и вы точно узнаете, почему ваши зубы темнеют, и как вернуть им светлый, живой цвет.