С какой проблемой обратилась пациентка
Пациентка пришла в клинику с несколькими жалобами: повышенная чувствительность зубов, оголившиеся корни и неэстетичный вид десны.
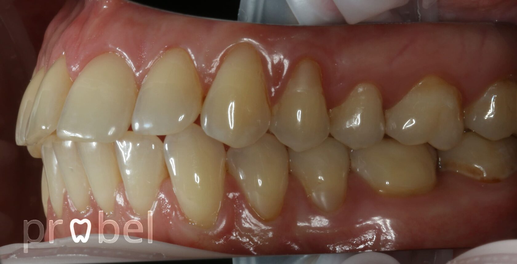
При осмотре выявлены множественные рецессии — убыль десны в зоне передних и боковых зубов. Причинами стали недостаточный домашний уход и воспалительные процессы: гингивит и пародонтит.
При осмотре выявлены множественные рецессии — убыль десны в зоне передних и боковых зубов. Причинами стали недостаточный домашний уход и воспалительные процессы: гингивит и пародонтит.
Из-за этого появились:
- визуальные дефекты в зоне улыбки,
- ощущение дискомфорта при еде и чистке,
- повышенный риск кариеса и поражения корней зубов.
Почему не пломбирование
Во многих клиниках пациентам с оголёнными корнями предлагают пломбирование — закрыть участки композитным материалом. Однако это лишь временное решение: пломбы в таких зонах часто выпадают, не устраняя причину проблемы. Рецессия продолжает развиваться, десна опускается всё ниже, а чувствительность возвращается.
Единственный способ действительно восстановить уровень десны и остановить процесс — хирургическое устранение рецессий, которое проводится в нашей клинике по современным методикам.
Единственный способ действительно восстановить уровень десны и остановить процесс — хирургическое устранение рецессий, которое проводится в нашей клинике по современным методикам.
Что сделали специалисты клиники «Пробел»
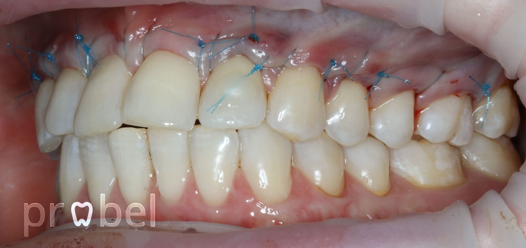
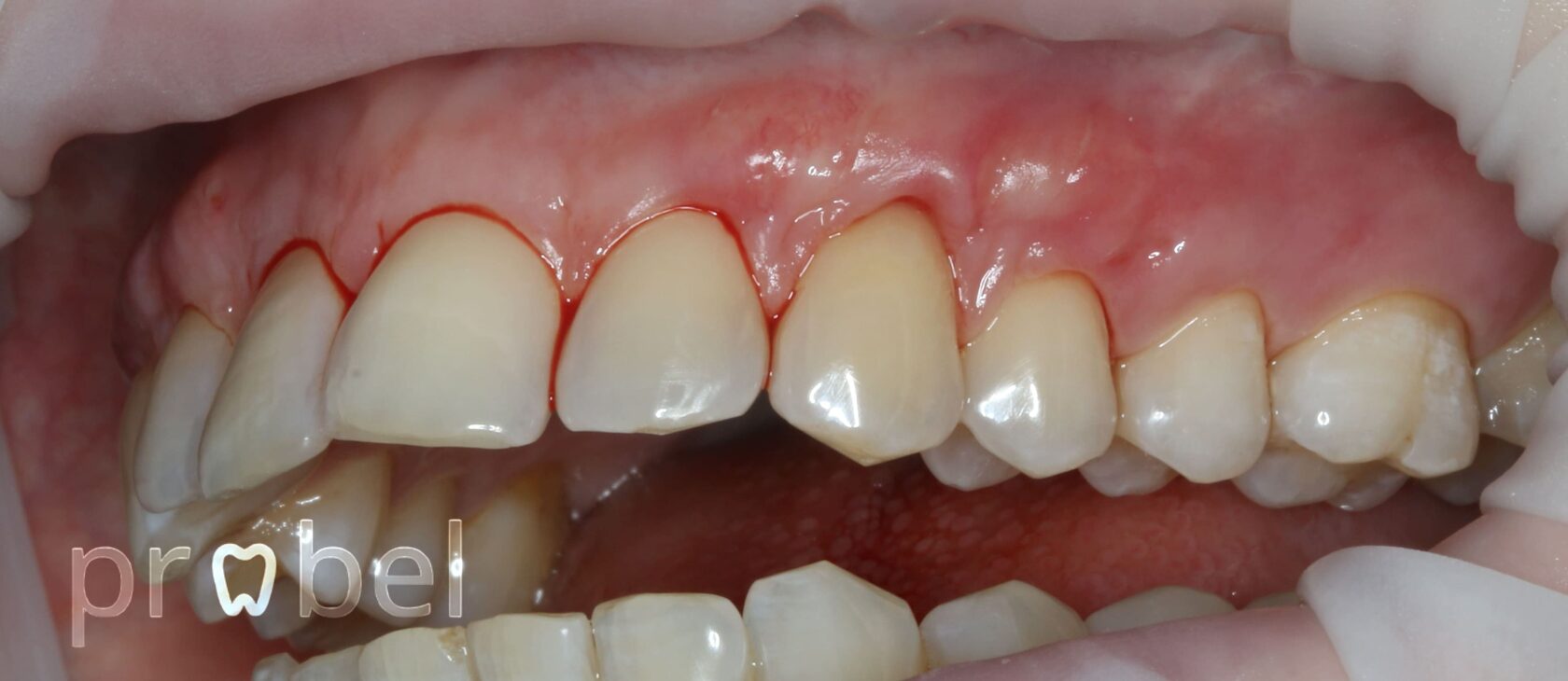
Хирург-пародонтолог Гончаров Андрей Анатольевич провёл устранение рецессий десны туннельным методом с забором нёбного трансплантата. Методика позволяет вернуть естественный контур десны, не травмируя окружающие ткани, и добиться стабильного долгосрочного результата.
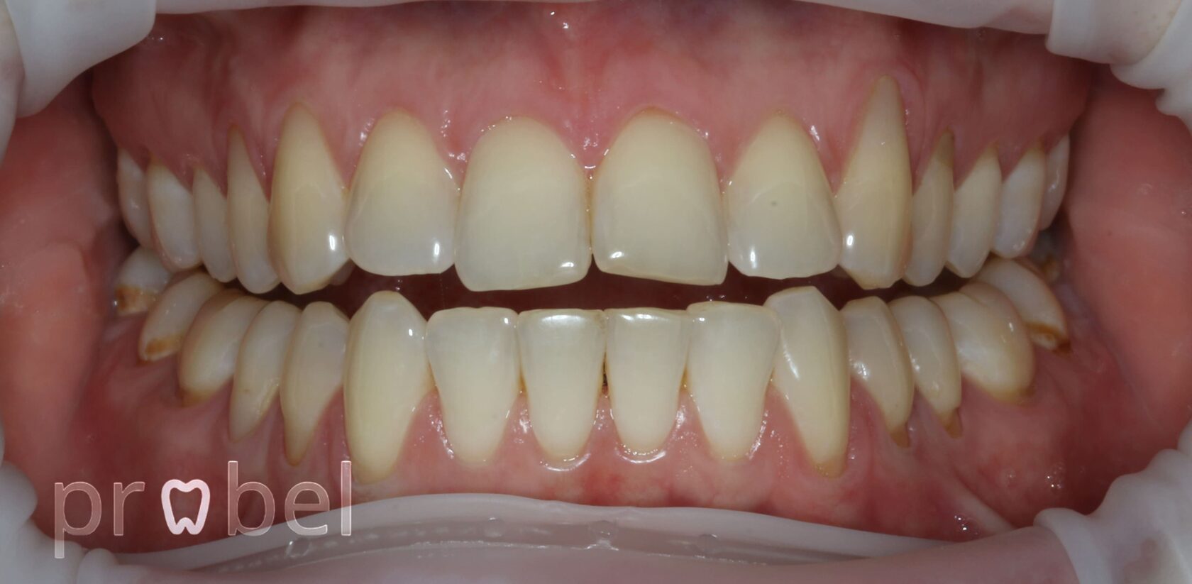
В результате была:
- восстановлена линия десны,
- закрыты оголённые участки корней,
- улучшена эстетика и симметрия улыбки.
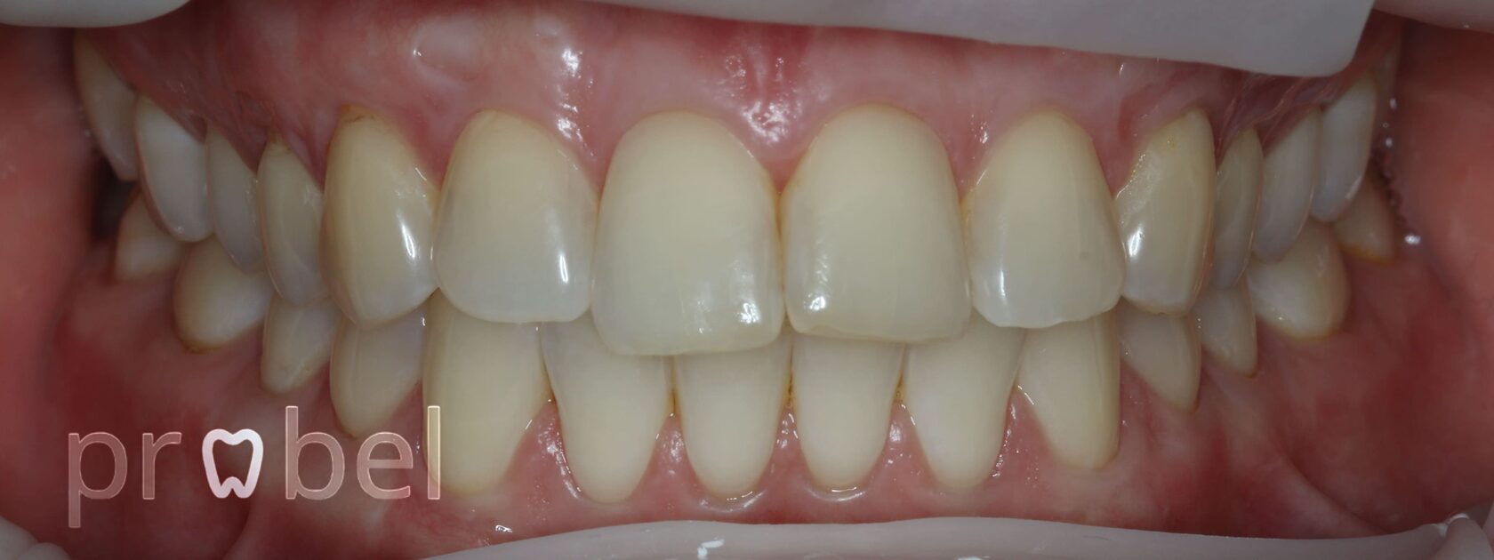
На фотографиях представлены три этапа лечения (в двух ракурсах):
- До операции — видны участки убылей десны и оголённые шейки зубов.
- После операции — этап заживления, швы зафиксированы, контур десны уже выровнен.
- После снятия швов — финальный результат: здоровые ткани, естественная линия десны, восстановленная эстетика улыбки.
Подробнее о процедуре
Что такое пластика десны, когда она действительно необходима и как проходит восстановление — читайте в статье «Пластика десны: когда она нужна и как проходит восстановление»
Рекомендации от команды «Пробел»
Чтобы избежать повторного появления рецессий:
Ранняя диагностика позволяет устранить проблему на ранних стадиях — без хирургического вмешательства.
- соблюдайте регулярную профессиональную гигиену,
- используйте мягкую щётку и щадящую технику чистки,
- проходите профилактические осмотры у стоматолога не реже двух раз в год.
Ранняя диагностика позволяет устранить проблему на ранних стадиях — без хирургического вмешательства.
Если вы уже замечаете оголённые участки или повышенную чувствительность зубов — запишитесь на консультацию в Probel Clinic.
Наши специалисты помогут сохранить здоровье и эстетику вашей улыбки.
Наши специалисты помогут сохранить здоровье и эстетику вашей улыбки.
Мы отвечаем быстро и с заботой.
Адрес: Москва, Ленинградский проспект, 29к1
проложить маршрут
Телефон: +7 499 130 88 77
Сайт: probelclinic.ru
Мессенджеры — пишите, как вам удобнее:
WhatsApp +7 903 130 88 77
Telegram: probel_clinic
Мы будем рады видеть вас в нашей клинике и подарить ту самую улыбку, о которой вы давно мечтаете.
Адрес: Москва, Ленинградский проспект, 29к1
проложить маршрут
Телефон: +7 499 130 88 77
Сайт: probelclinic.ru
Мессенджеры — пишите, как вам удобнее:
WhatsApp +7 903 130 88 77
Telegram: probel_clinic
Мы будем рады видеть вас в нашей клинике и подарить ту самую улыбку, о которой вы давно мечтаете.