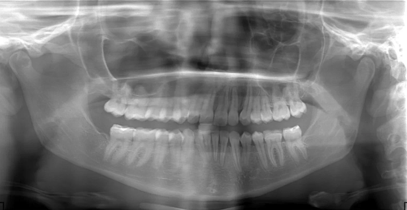
Что такое панорамный снимок зубов?
Ортопантомограмма (ОПТГ) — это обзорный рентгеновский снимок, на котором одновременно видны обе челюсти, все зубы, корни и окружающая кость. Он позволяет врачу:
Это основной метод рентгенодиагностики в стоматологии, который помогает обнаружить даже те проблемы, о которых пациент пока не догадывается.
- оценить скрытые воспаления;
- увидеть состояние зубов мудрости;
- проверить плотность и объём костной ткани;
- понять, как расположены корни и зачатки зубов.
Это основной метод рентгенодиагностики в стоматологии, который помогает обнаружить даже те проблемы, о которых пациент пока не догадывается.
Почему недостаточно «обычного снимка»?
Прицельный рентген показывает только один или два зуба — и не даёт полной картины. Пример: вас беспокоит «шестёрка», но рядом с ней может быть скрытый кариес на «пятерке», воспаление у соседнего корня или киста, не вызывающая боли.
Без ортопантомограммы врач рискует не заметить серьёзные проблемы, которые потом вернутся уже в виде боли, отёка или повторного лечения.
Без ортопантомограммы врач рискует не заметить серьёзные проблемы, которые потом вернутся уже в виде боли, отёка или повторного лечения.
Когда обязательно делать панорамный снимок?
- Перед имплантацией — чтобы оценить объём кости и расположение соседних структур.
- При боли и пульпите — чтобы понять, насколько поражён зуб и нет ли воспаления в корне.
- Перед удалением зуба мудрости — особенно если он не прорезался полностью или растёт под углом.
- При планировании ортодонтического лечения — для оценки прикуса и положения всех зубов.
- При первичной консультации, если давно не были у стоматолога.
А если жалоб нет? Это не лишняя трата?
Нет. Наоборот — панорамный снимок помогает не переплачивать, ведь он предотвращает ненужные процедуры. Он показывает, какие зубы требуют лечения, а какие — нет. То есть экономит и время, и средства.
В современной стоматологии это не «ещё одна платная услуга», а шаг к точному и спокойному лечению.
В современной стоматологии это не «ещё одна платная услуга», а шаг к точному и спокойному лечению.
Плюсы ортопантомограммы для пациента
- Всё сразу видно на одном снимке
- Не нужно делать много отдельных рентгенов
- Процедура занимает не более 3 минут
- Безболезненно и безопасно
- Помогает понять, почему именно эти зубы требуют лечения
Где сделать панорамный снимок зубов в Москве?
В клинике Probel вы можете сделать панорамный снимок зубов во время первичного приёма. Это удобно, быстро и позволяет врачу точно оценить ситуацию — даже если на первый взгляд всё выглядит «в порядке».
Заключение
Панорамный снимок — это не лишнее обследование, а ваша гарантия точной диагностики.
Он даёт врачу «широкий обзор», помогает спланировать лечение без сюрпризов и экономит ресурсы — как время, так и деньги.
Подробнее о возможностях диагностики — на странице «Диагностика зубов»
Или сразу записывайтесь на приём: оставьте заявку на сайте — в ближайшее время мы вам перезвоним и поможем подобрать время.
Он даёт врачу «широкий обзор», помогает спланировать лечение без сюрпризов и экономит ресурсы — как время, так и деньги.
Подробнее о возможностях диагностики — на странице «Диагностика зубов»
Или сразу записывайтесь на приём: оставьте заявку на сайте — в ближайшее время мы вам перезвоним и поможем подобрать время.