Что входит в имплантацию «под ключ»
Когда пациент слышит это выражение, у него возникает масса вопросов:
«Сколько это стоит?»
«Надолго ли затянется лечение?»
«Не окажется ли в итоге, что “под ключ” — это только установка винта, а за остальное придётся доплачивать?»
«Сколько это стоит?»
«Надолго ли затянется лечение?»
«Не окажется ли в итоге, что “под ключ” — это только установка винта, а за остальное придётся доплачивать?»
На практике имплантация «под ключ» в клинике Probel — это полный курс лечения от диагностики до готового зуба, включая:
Но в зависимости от ситуации этапы и сроки могут отличаться. Давайте разберёмся, какие бывают виды имплантации.
- диагностика и планирование;
- удаление зуба (если требуется);
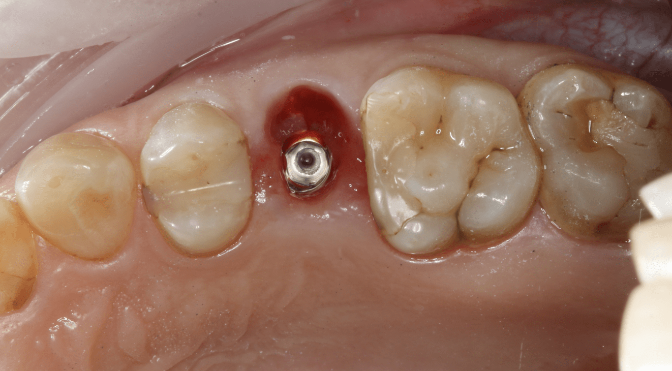
- установку импланта;
- временную коронку (по показаниям);
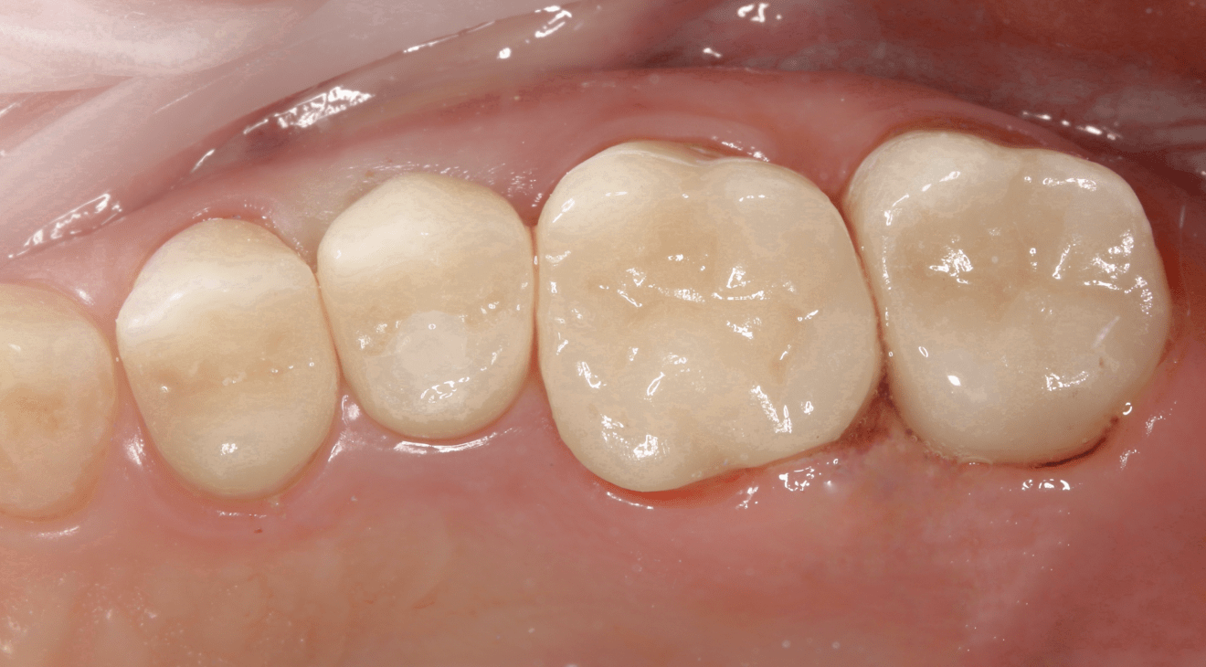
- постоянную коронку после приживления.
Но в зависимости от ситуации этапы и сроки могут отличаться. Давайте разберёмся, какие бывают виды имплантации.
Одноэтапная (одномоментная) имплантация: быстро и современно
Этот метод — один из самых прогрессивных и удобных. В рамках одного визита врач:
- проводит диагностику;
- удаляет зуб (если нужно);
- устанавливает имплант;
- при необходимости — изготавливает временную коронку по технологии CEREC и сразу фиксирует её на имплант (на усмотрение врача).
Такая экспресс-имплантация часто проходит бесшовно и практически без крови. Особенно это важно в зоне улыбки: например, если удаляется передний зуб, пациент уходит из клиники с новым, эстетичным временным зубом уже в тот же день.
В области жевательных зубов временная коронка чаще всего не ставится сразу — нужно дождаться приживления импланта.
В области жевательных зубов временная коронка чаще всего не ставится сразу — нужно дождаться приживления импланта.
Классическая имплантация: когда нужно больше времени
Иногда врач может рекомендовать классическую схему. Она идёт поэтапно:
Вся процедура занимает от 5 до12 месяцев, но в сложных клинических случаях такой способ может быть единственно верным — особенно если есть воспаление, нехватка костной ткани или другие осложнения.
- Удаление зуба и восстановление тканей (3–6 месяцев).
- Установка импланта и заживление (ещё 2–6 месяцев).
- Установка коронки.
Вся процедура занимает от 5 до12 месяцев, но в сложных клинических случаях такой способ может быть единственно верным — особенно если есть воспаление, нехватка костной ткани или другие осложнения.
Имплантация при полном отсутствии зубов: All-on-4 и All-on-6
Если у пациента полностью отсутствуют зубы, подходят технологии All-on-4 и All-on-6. Суть проста:
Метод особенно удобен для пожилых пациентов и тех, кто хочет навсегда отказаться от съёмных протезов.
- на 4 или 6 имплантах фиксируется несъёмный протез;
- все этапы можно провести за один визит;
- по сравнению с установкой 10–12 отдельных имплантов — это быстрее, проще и экономичнее.
Метод особенно удобен для пожилых пациентов и тех, кто хочет навсегда отказаться от съёмных протезов.
От чего зависит стоимость
Цена на имплантацию зубов под ключ зависит от:
На консультации врач составит понятный план лечения и подберёт оптимальный вариант. Всё будет прозрачно: без «неожиданностей» на этапе оплаты.
- выбранной технологии (одномоментная, классическая, All-on);
- количества имплантов;
- необходимости удаления зуба;
- типа и материала коронки (временная, постоянная, эстетическая);
- сложности клинической ситуации.
На консультации врач составит понятный план лечения и подберёт оптимальный вариант. Всё будет прозрачно: без «неожиданностей» на этапе оплаты.
Почему так важен план лечения
Пациенты часто хотят «сразу установить имплант» — но в основе хорошего результата всегда лежит точная диагностика и грамотное планирование. Это позволяет:
В клинике Probel для этого используется современное оборудование и технологии цифровой стоматологии.
- избежать осложнений;
- спрогнозировать сроки;
- заранее понимать все этапы;
- точно рассчитать цену — без скрытых пунктов.
В клинике Probel для этого используется современное оборудование и технологии цифровой стоматологии.
Имплантация — это не страшно, не бесконечно долго и не «только для избранных».
С современными технологиями всё проходит максимально комфортно: в один визит или с прогнозируемыми сроками, под контролем врача.
Главное — начать с консультации и выбрать клинику, где вам всё объяснят честно и подробно.
Подробнее об этапах и возможностях читайте на странице Имплантация зубов.
Или просто записывайтесь на приём: оставьте заявку на сайте — в ближайшее время мы вам перезвоним и поможем подобрать время и специалиста.
С современными технологиями всё проходит максимально комфортно: в один визит или с прогнозируемыми сроками, под контролем врача.
Главное — начать с консультации и выбрать клинику, где вам всё объяснят честно и подробно.
Подробнее об этапах и возможностях читайте на странице Имплантация зубов.
Или просто записывайтесь на приём: оставьте заявку на сайте — в ближайшее время мы вам перезвоним и поможем подобрать время и специалиста.