Исправить прикус — это только половина пути. После снятия брекетов или элайнеров зубы стремятся вернуться назад. В статье рассказываем, зачем нужны ретейнеры, какие они бывают и как долго их придётся носить.
Что такое ретейнеры и какие они бывают
Ретейнер — это фиксирующая конструкция, которая удерживает зубы в правильном положении после лечения прикуса.
Виды ретейнеров:
- Несъёмные. Тонкая металлическая дуга, приклеиваемая с внутренней стороны зубов. Невидимы, не мешают и работают круглосуточно.
- Съёмные. Прозрачные капы или пластинки, которые надеваются на ночь. Требуют дисциплины, но удобны в уходе.
- Комбинированные. Часто врачи назначают несъёмный ретейнер + съёмную капу для надёжности.
Сколько требуется обычно носить ретейнеры
- Первые 6–12 месяцев — это критический период, когда зубы особенно «хотят вернуться».
- Обычно несъёмный ретейнер оставляют на несколько лет, иногда — пожизненно.
- Съёмные капы носят минимум год, затем — по рекомендации врача.
Важно: срок ношения индивидуален. Решение принимает ортодонт после регулярных осмотров.
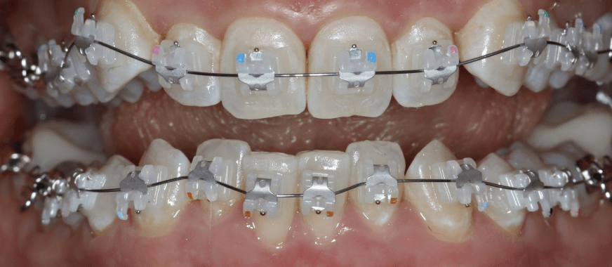
Почему установка ретейнеров после брекетов и элайнеров так важна
Мы понимаем: кажется, что самое трудное уже позади. Брекеты сняли, элайнеры отработали — улыбка ровная, прикус исправлен. Хочется выдохнуть и забыть о лечении. Но именно здесь начинается этап, который решает, сохранится ли результат на годы или сдвиги вернутся уже через несколько месяцев.
Зубы и ткани вокруг них обладают «памятью». Даже после успешного исправления прикуса связки и кость ещё не успели перестроиться. Без закрепления зубы постепенно начинают смещаться назад.
Зубы и ткани вокруг них обладают «памятью». Даже после успешного исправления прикуса связки и кость ещё не успели перестроиться. Без закрепления зубы постепенно начинают смещаться назад.
Что это значит на практике:
- Результат без ретейнера нестабилен. Уже через полгода после снятия брекетов можно заметить первые откаты.
- Повторное лечение всегда дольше и дороже. Вернуть зубы в правильное положение второй раз сложнее, чем закрепить эффект ретейнером.
- Ретейнеры — это часть лечения. Ортодонты рассматривают установку ретейнера как обязательный завершающий этап, а не «дополнительную опцию».
Да, это может показаться утомительным — ещё что-то «носить» после брекетов. Но именно установка ретейнера гарантирует, что годы исправления прикуса не будут потрачены зря.
Ответы на вопросы, которые часто возникают у пациентов
- Больно ли ставить ретейнер?
- Можно ли самому решить, какой ретейнер выбрать?
- Нужно ли ухаживать за ретейнером?
Выбирайте уверенность вместо риска отката
Ретейнеры — это не «навязанная услуга», а обязательный этап, который закрепляет результат ортодонтического лечения.
В клинике Probelмы предлагаем установку ретейнеров после брекетов и элайнеров, следим за их состоянием и напоминаем о плановых осмотрах.
Подробнее о нашем подходе к лечению и кейсы из практики смотрите на страницах Исправление прикуса и Элайнеры.
Запишитесь на консультацию ортодонта — и будьте уверены, что ваша улыбка останется ровной.
В клинике Probelмы предлагаем установку ретейнеров после брекетов и элайнеров, следим за их состоянием и напоминаем о плановых осмотрах.
Подробнее о нашем подходе к лечению и кейсы из практики смотрите на страницах Исправление прикуса и Элайнеры.
Запишитесь на консультацию ортодонта — и будьте уверены, что ваша улыбка останется ровной.
Мы отвечаем быстро и с заботой.
Адрес: Москва, Ленинградский проспект, 29к1
проложить маршрут
Телефон: +7 499 130 88 77
Сайт: probelclinic.ru
Мессенджеры — пишите, как вам удобнее:
WhatsApp +7 903 130 88 77
Telegram: probel_clinic
Мы будем рады видеть вас в нашей клинике и подарить ту самую улыбку, о которой вы давно мечтаете.
Адрес: Москва, Ленинградский проспект, 29к1
проложить маршрут
Телефон: +7 499 130 88 77
Сайт: probelclinic.ru
Мессенджеры — пишите, как вам удобнее:
WhatsApp +7 903 130 88 77
Telegram: probel_clinic
Мы будем рады видеть вас в нашей клинике и подарить ту самую улыбку, о которой вы давно мечтаете.