Новости

Почему перед имплантацией почти всегда находят скрытые проблемы

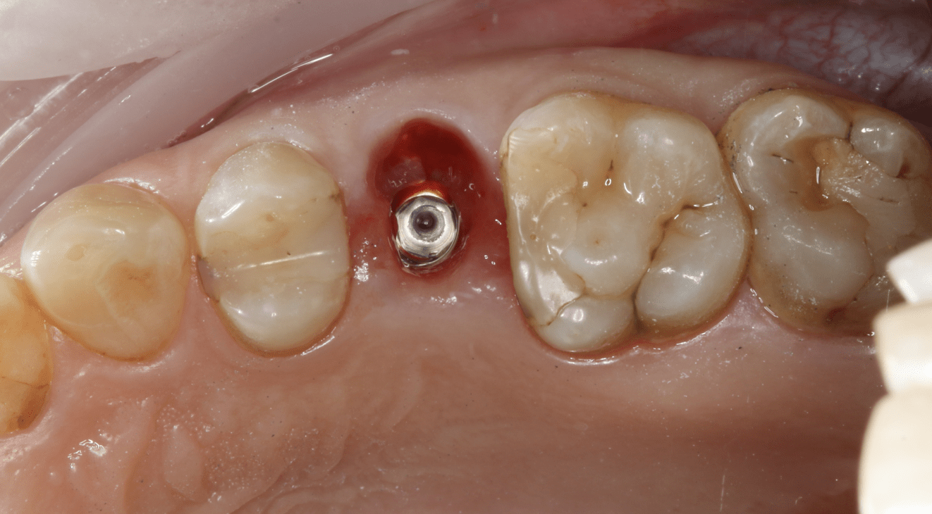
Имплантация зубов в стоматологической клинике Пробел у метро Динамо

Почему имплантация зуба не начинается сразу

Со стороны процедура часто кажется простой: поставить имплант на место отсутствующего зуба и забыть о проблеме. Но на практике успешная имплантация всегда начинается с оценки состояния всей полости рта и челюсти.
Имплант — это конструкция, которая должна прижиться в кости и служить долгие годы. Для этого окружающие ткани должны быть здоровыми, а нагрузка — правильно распределённой. Именно поэтому перед установкой импланта проводят тщательную диагностику.
Имплантация зубов в стоматологической клинике Пробел у метро Динамо

Какие скрытые проблемы чаще всего выявляют перед имплантацией

На этапе обследования стоматолог может обнаружить проблемы, которые долгое время никак себя не проявляли. Чаще всего это:
  • воспалительные процессы в области корней соседних зубов;
  • остаточные очаги инфекции после старого лечения;
  • скрытые кисты или гранулёмы;
  • нарушения прикуса, из-за которых нагрузка распределяется неправильно;
  • дефицит костной ткани в зоне предполагаемой имплантации.
Внешне пациент может не ощущать никаких симптомов, но именно эти факторы напрямую влияют на приживаемость импланта.

Почему это не «стоматолог навязывает лишнее лечение»

Часто пациенты воспринимают этап подготовки как попытку навязать дополнительные процедуры. На самом деле цель подготовки — снизить риски.
Если установить имплант в неблагоприятных условиях, возрастает вероятность воспаления, отторжения или сокращения срока службы конструкции. В этом случае имплантация может потребовать переделок или повторного вмешательства.
Подготовка позволяет создать условия, при которых имплант будет стабильно функционировать долгие годы. При этом важно понимать, что подход к имплантации может быть разным — в зависимости от ситуации и готовности пациента.

Всегда ли имплантация откладывается из-за другого лечения

Важно понимать, что выявление сопутствующих проблем не всегда означает, что установка импланта откладывается. Во многих случаях имплант можно установить сразу, а остальное лечение провести параллельно — например, в период его приживления, который обычно занимает 2–4 месяца.
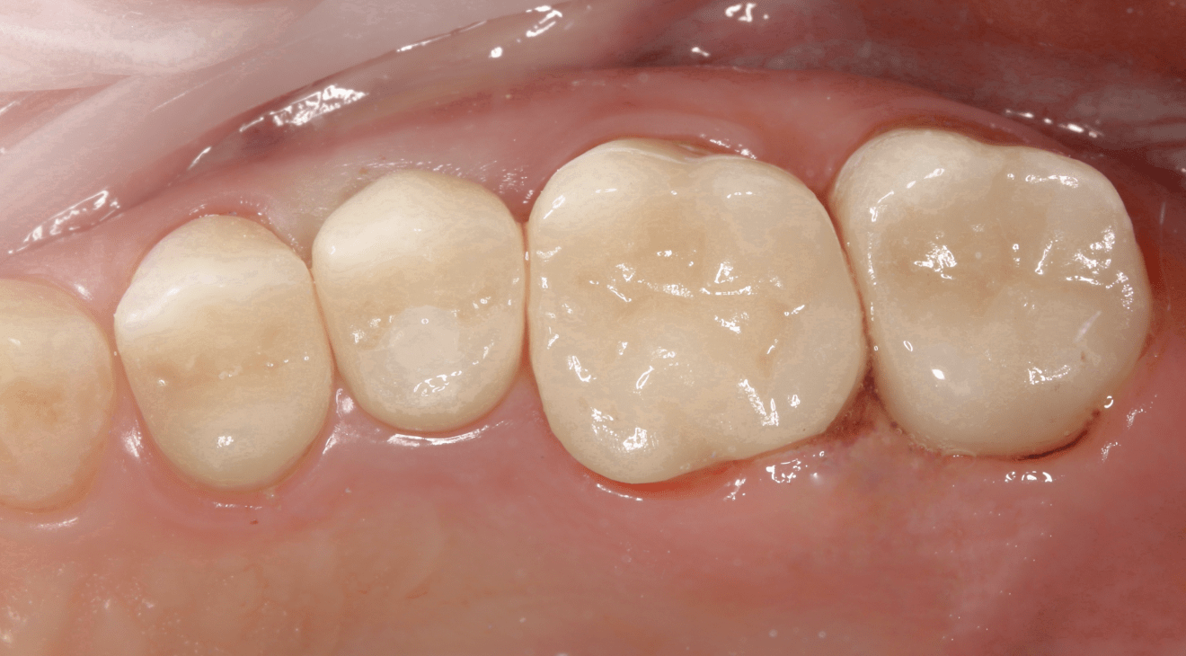
Стоматология Пробел на Ленинградском проспекте у метро Динамо
Даже если пациент по каким-то причинам не готов заниматься другими зубами, это не всегда является препятствием для установки импланта. Подготовка и дополнительные рекомендации — это не жёсткое требование, а способ предложить наиболее надёжный и прогнозируемый вариант лечения.

Как подготовка влияет на результат имплантации

Качественная подготовка перед имплантацией помогает:
  • устранить источники инфекции;
  • восстановить или сохранить костную ткань;
  • скорректировать нагрузку на челюсть;
  • повысить процент приживаемости импланта;
  • добиться прогнозируемого и долговечного результата.
Именно поэтому опытные врачи всегда начинают имплантацию с комплексной оценки ситуации, а не с самой установки импланта.

Почему скрытые проблемы часто находят именно на этом этапе

Многие очаги воспаления или изменения в кости долгое время не дают болевых ощущений. Они становятся заметны только при детальной диагностике, которая проводится перед имплантацией.
Для пациента это может выглядеть как «внезапное» обнаружение проблем, хотя на самом деле они существовали задолго до планирования имплантации.

Как грамотно подготовиться к имплантации зубов

Первый шаг — консультация и диагностика, на которой врач оценивает общее состояние зубов, дёсен и костной ткани. В клинике «Пробел» перед имплантацией:
  • проводят комплексное обследование;
  • выявляют возможные скрытые проблемы;
  • объясняют, какие этапы подготовки необходимы именно в вашем случае;
  • составляют поэтапный план имплантации.
Подготовка не означает, что лечение затянется на годы — она позволяет избежать осложнений и получить стабильный результат. Подробнее о подходе и этапах восстановления вы можете узнать на странице «Имплантация зубов».
А чтобы понять, с чего начать и какой план подойдёт именно вам — запишитесь на консультацию.
Мы отвечаем быстро и с заботой.

Адрес: Москва, Ленинградский проспект, 29к1
проложить маршрут

Телефон: +7 499 130 88 77

Сайт: probelclinic.ru

Мессенджеры — пишите, как вам удобнее:
WhatsApp +7 903 130 88 77
Telegram: probel_clinic

Мы будем рады видеть вас в нашей клинике и подарить ту самую улыбку, о которой вы давно мечтаете.