Главный вопрос пациентов: что из всего этого нужно именно мне?
Большинство пациентов приходят с запросом «хочу красивую улыбку», но не знают, какая методика действительно решит их проблему. У кого-то стираемость, у кого-то разрушенные зубы, у кого-то отсутствуют целые сегменты — и подход в каждом случае разный.
Ортопед оценивает прикус, состояние эмали, объём разрушения зубов и только после диагностики понимает, какой способ будет надёжным и долговечным.
Ниже — честное сравнение методов, без универсальных обещаний и лишних эстетических трендов.
Ортопед оценивает прикус, состояние эмали, объём разрушения зубов и только после диагностики понимает, какой способ будет надёжным и долговечным.
Ниже — честное сравнение методов, без универсальных обещаний и лишних эстетических трендов.
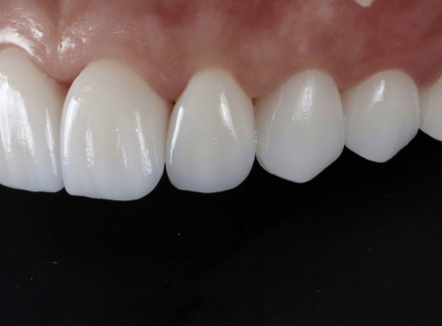
Виниры: когда достаточно эстетического решения
Виниры — это тонкие керамические накладки, которые изменяют форму и цвет зуба без масштабного вмешательства.
Когда подойдут виниры
Плюсы виниров
Когда виниры не подойдут
В таких случаях врач предложит коронки.
Когда подойдут виниры
- зубы здоровые, но некрасивые по форме или цвету;
- есть сколы, трещины, щели между зубами;
- прикус в целом стабильный и не перегружает фронтальную зону;
- нужно изменить эстетику без сильного изменения объёма зуба.
Плюсы виниров
- максимально естественный внешний вид;
- бережное препарирование;
- прочность современных материалов (керамики E.max или циркония ZrO2);
- результат при правильном уходе — 10–15 лет.
Когда виниры не подойдут
- сильная стираемость, бруксизм;
- разрушение зуба более чем на 50%;
- выраженные проблемы прикуса;
- отсутствие опоры под накладку.
В таких случаях врач предложит коронки.
Коронки: когда зуб нужно укрепить, а не просто украсить
Коронка полностью закрывает зуб и восстанавливает его форму, объём и прочность. Это функциональное решение, подходящее при существенных повреждениях.
Когда ставят коронки
Когда ставят коронки
- зуб разрушен наполовину или больше;
- большие пломбы часто выпадают;
- зуб потемнел после лечения каналов;
- есть трещины, риск раскола;
- нужно перераспределить нагрузку при неправильном прикусе.
Плюсы коронок
Когда коронки не помогут
Если зуб невозможно сохранить — лучше удаление и протезирование на импланте.
- высокая прочность;
- защита слабого зуба;
- эстетика (особенно цирконий и цельная керамика);
- срок службы — 7–15 лет.
Когда коронки не помогут
Если зуб невозможно сохранить — лучше удаление и протезирование на импланте.
Протезирование и конструкции на имплантах: когда зубов не хватает
Если отсутствует один, несколько или весь ряд зубов — имплантация становится единственным правильным вариантом.
Варианты протезирования
Преимущества имплантов
Когда протезирование обязательно
Варианты протезирования
- коронка на импланте — для замены одного зуба;
- мост на имплантах — при отсутствии нескольких зубов подряд;
- All-on-4 / All-on-6 — тотальное восстановление в один день при полном отсутствии зубов;
- частичные протезы — если имплантация временно невозможна.
Преимущества имплантов
- восстановление функции на уровне естественных зубов;
- предотвращение атрофии кости;
- удобство и стабильность;
- срок службы — десятилетия при правильном уходе.
Когда протезирование обязательно
- отсутствие опоры для коронок или виниров;
- разрушенные, подвижные зубы, которые нельзя сохранить;
- значительная атрофия кости, нарушение эстетики лица;
- боль, жевательные нарушения, перегрузка оставшихся зубов.
Как понять, что подходит именно вам
Нельзя выбрать «виниры» или «импланты» по фотографии в интернете — решение всегда зависит от диагностики: 3D-снимка, анализа прикуса, фотопротокола, изучения десневой линии и состояния опорных зубов.
Врач-ортопед составляет индивидуальный план, где учитывает эстетические пожелания, состояние зубов, прикус и долговечность решения — и только после этого рекомендует метод.
Врач-ортопед составляет индивидуальный план, где учитывает эстетические пожелания, состояние зубов, прикус и долговечность решения — и только после этого рекомендует метод.
Универсального решения нет, но есть правильное лично для вас
Эстетика и функциональность должны идти вместе. Где-то достаточно виниров, где-то нужна коронка, а в сложных случаях только имплантация даст предсказуемый долгий результат.
Главное — выбрать методику не по «моде», а по медицинским показаниям.
Если вы хотите понять, что подойдёт именно вам, сделайте первый шаг — пройдите диагностику и консультацию ортопеда. В клинике «Пробел» мы:
Запишитесь на консультацию — и получите честный, понятный план лечения, который даст красивую улыбку и долгосрочный результат.
Главное — выбрать методику не по «моде», а по медицинским показаниям.
Если вы хотите понять, что подойдёт именно вам, сделайте первый шаг — пройдите диагностику и консультацию ортопеда. В клинике «Пробел» мы:
- проведём 3D-диагностику прикуса и зубов,
- подробно объясним разницу между винирами, коронками и протезированием,
- предложим несколько вариантов восстановления,
- рассчитаем стоимость и срок службы каждого решения.
Запишитесь на консультацию — и получите честный, понятный план лечения, который даст красивую улыбку и долгосрочный результат.
Мы отвечаем быстро и с заботой.
Адрес: Москва, Ленинградский проспект, 29к1
проложить маршрут
Телефон: +7 499 130 88 77
Сайт: probelclinic.ru
Мессенджеры — пишите, как вам удобнее:
WhatsApp +7 903 130 88 77
Telegram: probel_clinic
Мы будем рады видеть вас в нашей клинике и подарить ту самую улыбку, о которой вы давно мечтаете.
Адрес: Москва, Ленинградский проспект, 29к1
проложить маршрут
Телефон: +7 499 130 88 77
Сайт: probelclinic.ru
Мессенджеры — пишите, как вам удобнее:
WhatsApp +7 903 130 88 77
Telegram: probel_clinic
Мы будем рады видеть вас в нашей клинике и подарить ту самую улыбку, о которой вы давно мечтаете.