Диагностика и план эстетической реабилитации
На консультации проведена детальная диагностика, включающая:
После оценки принято решение о комплексной эстетической реабилитации: сочетание коррекции десны и установки керамических виниров Emax.
- визуальный анализ формы и пропорций зубов;
- фотопротокол и цифровое моделирование улыбки;
- определение уровня десневой линии и соотношения коронковой части.
После оценки принято решение о комплексной эстетической реабилитации: сочетание коррекции десны и установки керамических виниров Emax.
Коррекция десны — шаг к идеальной линии улыбки
Первым этапом выполнено контурирование десны. Особенность случая: у пациентки ярко выраженная десневая улыбка (то есть при улыбке была сильно видна десна).
Нашей задачей было выровнять уровень мягких тканей, сделать пропорции зубов симметричными и визуально «открыть» улыбку.
Коррекция позволила добиться естественного перехода между десной и будущими винирами, что особенно важно при работе с фронтальной зоной.
Нашей задачей было выровнять уровень мягких тканей, сделать пропорции зубов симметричными и визуально «открыть» улыбку.
Коррекция позволила добиться естественного перехода между десной и будущими винирами, что особенно важно при работе с фронтальной зоной.
Установка керамических виниров
После заживления проведено изготовление и фиксация 24 керамических виниров, созданных в партнёрской зуботехнической лаборатории. Мы сотрудничаем только с проверенными специалистами, что гарантирует точность посадки и идеальное совпадение цвета.
Работа включала:
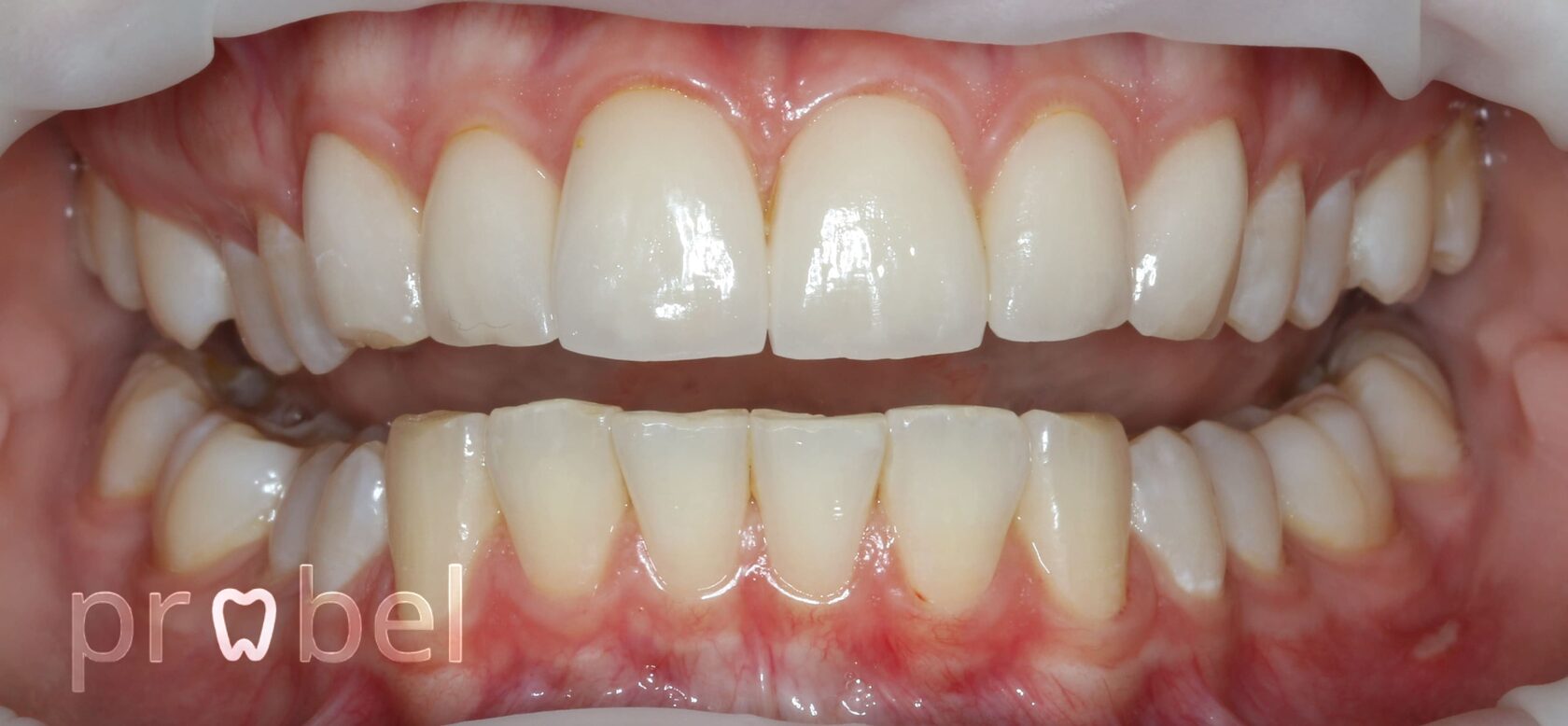
Результат — восстановлена высота зубов, устранена стираемость, а улыбка стала ровной, сияющей и естественной.
- цифровое моделирование формы и длины зубов;
- индивидуальный подбор цвета по шкале VITA;
- утверждение оттенка A1 — светлого, но натурального;
- фиксацию виниров с контролем прикуса и линии улыбки.
Результат — восстановлена высота зубов, устранена стираемость, а улыбка стала ровной, сияющей и естественной.
Результат лечения
- выровнена десневая линия и пропорции зубов;
- возвращена исходная высота и симметрия;
- эстетика сохранена без избыточного блеска;
- комфорт при разговоре и жевании полностью восстановлен.
Пациентка отметила, что улыбка стала «живой» и естественной, а не «новой».
Подробнее о проблеме
Почему возникает стираемость зубов, какие существуют стадии и современные методы восстановления — рассказываем подробно в статье «Стираемость зубов: причины, последствия и современные методы восстановления».
Почему важно не откладывать лечение при стираемости зубов
Стираемость — не просто эстетическая проблема. Это сигнал, что эмаль теряет защиту, а нагрузка распределяется неправильно.
Если не вмешаться вовремя, могут появиться:
Если не вмешаться вовремя, могут появиться:
- трещины и повышенная чувствительность,
- разрушение эмали и сколы,
- перегрузка суставов и головные боли.
В Probel Clinic мы возвращаем не только красоту, но и функцию зубов:
Подробнее о методике читайте на странице Керамические виниры.
А если вы замечаете, что зубы становятся короче или теряют блеск — запишитесь на консультацию прямо сейчас.
Оставьте заявку на сайте, и администратор поможет выбрать удобное время визита.
- проводим диагностику на цифровом оборудовании,
- подбираем решение под конкретный тип стираемости,
- используем современные безметалловые материалы и микроскоп для точности.
Подробнее о методике читайте на странице Керамические виниры.
А если вы замечаете, что зубы становятся короче или теряют блеск — запишитесь на консультацию прямо сейчас.
Оставьте заявку на сайте, и администратор поможет выбрать удобное время визита.
Мы отвечаем быстро и с заботой
Адрес: Москва, Ленинградский проспект, 29к1
проложить маршрут
Телефон: +7 499 130 88 77
Сайт: probelclinic.ru
Мессенджеры — пишите, как вам удобнее:
WhatsApp +7 903 130 88 77
Telegram: probel_clinic
Max написать
Мы будем рады видеть вас в нашей клинике и подарить ту самую улыбку, о которой вы давно мечтаете!
Адрес: Москва, Ленинградский проспект, 29к1
проложить маршрут
Телефон: +7 499 130 88 77
Сайт: probelclinic.ru
Мессенджеры — пишите, как вам удобнее:
WhatsApp +7 903 130 88 77
Telegram: probel_clinic
Max написать
Мы будем рады видеть вас в нашей клинике и подарить ту самую улыбку, о которой вы давно мечтаете!