Почему возникает стираемость зубов
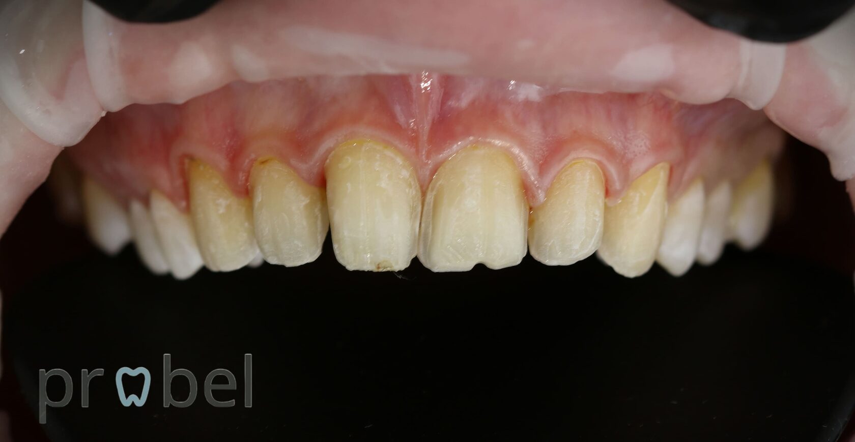
Стираемость зубов — это постепенная потеря твёрдых тканей: эмали и дентина. Процесс развивается медленно, поэтому многие пациенты замечают изменения уже тогда, когда зубы становятся короче, а края — неровными.
Основные причины:
- бруксизм — ночное или дневное скрежетание зубами;
- неправильный прикус и неравномерная нагрузка;
- старые пломбы и реставрации, нарушающие баланс при смыкании;
- повышенная кислотность — из-за диеты, гастрита или напитков;
- возрастные изменения — естественное истончение эмали.
Стираемость бывает физиологической (естественной) и патологической — когда износ идёт быстрее, чем должен. При патологической форме важно вмешаться как можно раньше.
Чем опасна стираемость зубов
На первый взгляд проблема кажется только эстетической — «зубы стали ниже». Но на деле она затрагивает и здоровье:
Со временем меняется и овал лица: нижняя треть укорачивается, появляются морщины вокруг рта. Поэтому стираемость — не только о зубах, но и о внешности.
- открывается дентин, повышается чувствительность к холоду и теплу;
- возрастает риск сколов и трещин;
- страдает жевательная функция;
- нагрузка передаётся на сустав, что может вызывать боль или щёлканье.
Со временем меняется и овал лица: нижняя треть укорачивается, появляются морщины вокруг рта. Поэтому стираемость — не только о зубах, но и о внешности.
Как понять, что пора записаться к стоматологу
Насторожить должны признаки:
Если вы замечаете один или несколько симптомов — пора на консультацию.
В клинике «Пробел»проводится цифровая диагностика: фото, 3D-сканирование, анализ прикуса. Это позволяет точно понять, какие зубы перегружены и как перераспределить нагрузку.
- зубы кажутся короче или неровными;
- прикусывание пищи стало неудобным;
- появились щели между зубами;
- эмаль стала матовой, с микротрещинами;
- чувствительность усилилась.
Если вы замечаете один или несколько симптомов — пора на консультацию.
В клинике «Пробел»проводится цифровая диагностика: фото, 3D-сканирование, анализ прикуса. Это позволяет точно понять, какие зубы перегружены и как перераспределить нагрузку.
Как восстанавливают зубы при стираемости
Современные методы позволяют вернуть форму и эстетику даже при значительной потере эмали.
Тактика зависит от степени стираемости:
В нашей клинике для этого используются материалы нового поколения — Emax-керамика, которая сочетает прочность и прозрачность, а по виду неотличима от эмали.
Тактика зависит от степени стираемости:
- Начальные стадии — минимальное восстановление композитом или микропломбами.
- Средняя стадия — восстановление формы с помощью керамических вкладок или частичных виниров.
- Выраженная стираемость — комплексная эстетическая реабилитация: коррекция десны, восстановление высоты прикуса и установка керамических виниров или коронок.
В нашей клинике для этого используются материалы нового поколения — Emax-керамика, которая сочетает прочность и прозрачность, а по виду неотличима от эмали.
Кейс из практики: полная эстетическая реабилитация при стираемости
В сложных случаях стираемости мы восстанавливаем не только эстетику, но и прикус. Так, одной пациентке потребовалась коррекция десны и установка 24 керамических виниров.
Как прошёл процесс и каким стал результат — рассказываем в нашем кейсе.
Как прошёл процесс и каким стал результат — рассказываем в нашем кейсе.
Сколько длится лечение и насколько стойкий результат
Каждый случай индивидуален, но общий принцип один:
Результат сохраняется многие годы при правильной гигиене и регулярных профчистках.
Керамика не темнеет, не окрашивается и надёжно защищает зуб от дальнейшей стираемости.
- сначала диагностика и цифровое моделирование,
- затем коррекция десны (если требуется),
- далее — установка виниров или коронок.
Результат сохраняется многие годы при правильной гигиене и регулярных профчистках.
Керамика не темнеет, не окрашивается и надёжно защищает зуб от дальнейшей стираемости.
Почему стоит обратиться в Probel Clinic
В Probel Clinic мы решаем проблему стираемости комплексно:
Мы восстанавливаем не только эстетику, но и функцию зубов, чтобы результат был естественным, а улыбка — уверенной.
- проводим цифровую диагностику и моделирование улыбки;
- используем микроскоп и керамику Emax для точного восстановления;
- имеем собственную зуботехническую лабораторию, что ускоряет лечение и гарантирует качество.
Мы восстанавливаем не только эстетику, но и функцию зубов, чтобы результат был естественным, а улыбка — уверенной.
Подробнее о методике читайте на странице Керамические виниры
Если вы замечаете, что зубы становятся короче, теряют блеск или чувствительность — запишитесь на консультацию прямо сейчас.
Оставьте заявку на сайте, и администратор поможет подобрать удобное время визита.
Если вы замечаете, что зубы становятся короче, теряют блеск или чувствительность — запишитесь на консультацию прямо сейчас.
Оставьте заявку на сайте, и администратор поможет подобрать удобное время визита.
Мы отвечаем быстро и с заботой.
Адрес: Москва, Ленинградский проспект, 29к1
проложить маршрут
Телефон: +7 499 130 88 77
Сайт: probelclinic.ru
Мессенджеры — пишите, как вам удобнее:
WhatsApp +7 903 130 88 77
Telegram: probel_clinic
Мы будем рады видеть вас в нашей клинике и подарить ту самую улыбку, о которой вы давно мечтаете.
Адрес: Москва, Ленинградский проспект, 29к1
проложить маршрут
Телефон: +7 499 130 88 77
Сайт: probelclinic.ru
Мессенджеры — пишите, как вам удобнее:
WhatsApp +7 903 130 88 77
Telegram: probel_clinic
Мы будем рады видеть вас в нашей клинике и подарить ту самую улыбку, о которой вы давно мечтаете.